- Що таке ендометрит Ендометрит це запалення внутрішньої оболонки матки, яка називається миометрий....
- Що викликає ендометрит
- Прогноз при ендометриті
- діагностика ендометриту
- Фактори ризику розвитку ендометриту
- Потенційні ускладнення ендометриту
- лікування ендометриту
- Що ще важливо знати про ендометрит
Що таке ендометрит
Ендометрит це запалення внутрішньої оболонки матки, яка називається миометрий. На додаток до міометрію при ендометриті часто вражаються інші шари матки - міометрій і, рідше, параметри. Все ендометрити можна об'єднати в дві групи - пов'язані з вагітністю і не пов'язані з вагітністю. Чи не пов'язані з вагітністю ендометрити входять в групу запальних захворювань малого таза. Ендометрит часто виникає разом з сальпингитом (запалення маткових труб), оофоритом (запалення яєчників) і пельвиоперитонитом (запалення очеревини, що покриває органи малого тазу). Будь-яке поєднання ендометриту, сальпінгіту, пельвіоперітоніта і тубооваріального абсцесу називають запаленням органів малого тазу. Діагноз ендометриту зазвичай ставиться клінічно, грунтуючись на високій температурі і болях внизу живота. Деякі випадки, наприклад ендометрит після кесарева перетину, вимагають стаціонарного лікування, в той час як легкі та середньої тяжкості ендометрити лікуються антибіотиками в амбулаторних умовах.

Як виникає ендометрит
Зазвичай ендометрит виникає через інфекції, яку Я поширюються з нижніх відділів сечостатевої системи. З точки зору патологічних процесів, що протікають при запаленні ендометрію можна виділити гострий ендометрит і хронічний ендометрит. При ситуаціях, не пов'язаних з вагітністю, попередниками ендометриту є запальні захворювання малого таза та гінекологічні маніпуляції. При зв'язку з вагітністю ендометрит виникає як ускладнення післяпологової інфекції. Хронічний ендометрит, пов'язаний з вагітністю характеризується накопиченням в порожнині матки продуктів, що залишилися після пологів або аборту. При цьому в порожнині матки після пологів залишається велика ранова поверхня через відірваної плаценти. Вона являє вхідні ворота для інфекції. Хронічний ендометрит, не пов'язаний з вагітністю асоційований з присутністю таких інфекційних процесів як хламідіоз, бактеріальний вагіноз, туберкульоз і т.п.
Що викликає ендометрит
Ендометрит це полімікробна захворювання. У запаленні задіяні як правило 2-3 види мікроорганізмів. У більшості випадків це загрожує інфекціями, яка формується з нормальною сапрофітної мікрофлори піхви. Часто виділяються мікроорганізми, такі як уреаплазма , Гарднерелла, пептострептококи, Бактероїди, Стрептококи групи В. хламідії частіше пов'язані з появою пізніх післяпологових ендометритів.
Прогноз при ендометриті
Як правило при своєчасно розпочатої антибіотикотерапії нормалізація стану настає протягом 48-72 годин. Якщо антибіотикотерапія призначена пізно, може виникнути таке ускладнення як септичний шок. При своєчасному лікуванні ендометриту не відзначається підвищення ускладнень вагітності, безпліддя і хронічного тазового болю.
діагностика ендометриту
Діагноз зазвичай базується на таких клінічних ознаках:
- Підвищення температури
- Біль внизу живота
- Виділення з неприємним запахом (після пологів)
- Незвичайні вагінальні кровотечі
- Незвичайні вагінальні виділення
- нездужання
- порушення сечовипускання
При обстеженні хворий при ендометриті виявляють такі ознаки:
- Підвищення температури виникає протягом 36 годин після пологів
- Біль внизу живота
- Напруженість матки при огляді
- Хворобливість і збільшення придатків при огляді
- Ганебні виділення
- Тахікардія (підвищення частоти серцевих скорочень понад 90 ударів в хвилину)
Якщо після пологів відразу піднімається температура вище 38.7 градусів Цельсія або тримається протягом 10 днів на рівні 38 і вище, потрібно бути настороженим щодо післяпологового ендометриту.
Фактори ризику розвитку ендометриту
Жінки особливо схильні до ендометриту після пологів або абортів. Шийка матки у них стає відкритою і перестає на час виконувати захисну функцію.Кроме того велика кількість продуктів розпаду, що віддаляються з порожнини матки являє собою сприятливе живильне середовище.
Найбільш важливі фактори ризику розвитку післяпологового ендометриту.
- Кесарів розтин, особливо до 28 тижня
- Тривалий період в пологах з лопнули плодовим міхуром
- тривалі пологи
- Сильно забруднені меконієм навколоплідні води
- Ручне відділення плаценти
- вік пацієнтки
- Низький соціально-економічний статус
Менш значимі фактори ризику ендометриту:
- Відсутність нормальної слизової пробки шийки матки
- Застосування кортикостероїдів під час вагітності для запобігання передчасним пологам
- Загальна анестезія
- Післяпологова анемія
- Інвазивні досліджувати для пренатальної діагностики
Наступні фактори збільшують ризик розвитку ендометриту як післяпологового так і не пов'язаного з пологами:
- Наявність внутрішньоматкової спіралі, вагінальна частина якої може служити шляхом проникнення інфекції в порожнину матки
- Присутність менструальної рідини в порожнині матки
- Запалення шийки матки, викликане
- хламідіями або
- гонококами
- бактеріальний вагіноз
- часті підмивання
- Незахищені статеві зв'язки
- Часта зміна сексуальних партнерів
- Ерозія шийки матки
Потенційні ускладнення ендометриту
- раневая інфекція
- перитоніт
- інфекція придатків
- Параметріальная флегмона
- тазовий абсцес
- тазова гематома
- Септичний тазовий тромбофлебіт
Поширення інфекції на маткові труби і яєчники веде до їх запалення а також до запалення малого таза, що призводить до порушення функціонування маткових труб, появі спайок в порожнині малого тазу і в кінцевому підсумку до безпліддя , Високому ризику позаматкової вагітності і хронічного тазового болю.
Крім клінічних ознак для діагностики ендометриту застосовують такі дослідження як загальний аналіз крові, бактеріальний посів виділень з матки на мікрофлору і чутливість до антибіотиків, ПЛР (полімеразно-ланцюгової реакції) на захворювання, що передаються статевим шляхом.
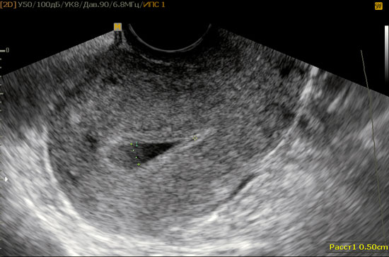
узі матки при ендометриті
За допомогою УЗД матки можна діагностувати збільшення матки в розмірах, запізнювання її інволюції після пологів, наявність в порожнині матки рідини або залишків плаценти, крові, наявність тромбів у венах оточуючих матку, поширення запалення на маткові труби і формування гидросальпинкса і піосальпінксу.
лікування ендометриту
Загальні принципи лікування ендометриту такі: важкі післяпологові ендометрити лікуються в стаціонарі. Легкі і середні форми ендометриту можна лікувати амбулаторно. Практикують застосування антибіотиків емпірично при гострих ендометритах і за результатами чутливості до антибіотиків або ґрунтуючись на властивостях бактеріального збудника. Емпіричне лікування антибіотиками - це лікування, засноване на припущенні, який саме збудник викликав ендометрит. Раннє призначення антибіотиків веде до благополучного результату ендометриту у більш, ніж 90% хворих. При призначенні антибіотиків під час гострого ендометриту немає часу на очікування результатів посівів та антибіотикограми. Підбирають як правило два препарати, які взаємно перекривають весь потенційний спектр мікроорганізмів, здатних викликати ендометрит. У разі хронічного ендометриту лікування проводять уже знаючи, яким мікроорганізмом він викликаний і до яких антибіотиків у нього виявлена чутливість. Відповідно до цього вибирають ті ліки, до яких очікується підвищена чутливість.
Що ще важливо знати про ендометрит
Часто протягом ендометриту, навіть гострого не має яскраво вираженої симптоматики і може маскуватися під загальне нездужання, застуду, втому. Якщо у жінки присутні фактори ризику, про які згадувалося раніше, їй слід відвідати лікаря для уважною діагностики. При стертою симптоматикою велику допомогу надає застосування узі матки, яке в нашій клініці проводиться профільним фахівцем - акушером -гінеколога. Це дозволяє заощадити цінний час, коли необхідно починати лікування ендометриту. Якщо прийом акушера -гінеколога проводиться без застосування узі, то є велика ймовірність пропустити уповільнені або безсимптомні варіанти перебігу ендометриту. При своєчасному початку лікування і грамотному застосуванні антибіотиків ендометрит проходить для жінки без наслідків.