У медицині є безліч діагнозів, які незвично звучать, але досить небезпечні для життя людини. Така хвороба, як синдром порожнього турецького сідла (СПТС) належить до їх числа. Незважаючи на веселе назву ця патологія локалізується в головному мозку, що робить її дуже небезпечною. Пошкоджується при цьому гіпофіз і проявляється це в низці неврологічних та інших симптомів, за якими складно дізнатися цей вид патології.
особливості захворювання
Турецьке сідло є хвороба, при якій спинномозкова рідина (ліквор) проникає в порожнину, розташовану в скроневій частині черепної коробки. У цьому місці є поглиблення, в якому знаходиться гіпофіз (мозковий придаток). Він багато що означає для організму, адже цей відділ мозку відповідає за розвиток людини, синтез гормонів, обмінні процеси і здатність до репродукції. Діафрагма турецького сідла в цій ситуації є причиною розвитку патологічного процесу, так як вона має недостатній розмір і саме тому ліквор проникає в гіпофіз.
Таке незвичайне назва діагноз отримав завдяки зовнішньому вигляду області де знаходиться мозковий придаток. Адже клиноподібна кістка чимось схожа на порожнє турецьке сідло. При попаданні в це місце спинномозкової рідини починаються атрофічні зміни гіпофіза, тому повністю його відновити фактично неможливо. У більшості випадків страждають від цієї патології дівчата після 40 років, у яких є 2-3 дитини і зайва маса тіла.
Синдром порожнього турецького сідла може виникнути з народження (первинний вигляд) або формуватися роками (вторинний вид). У будь-якому випадку у хвороби є свої причини, і покладаючись на них лікар зможе призначити коректний курс терапії.
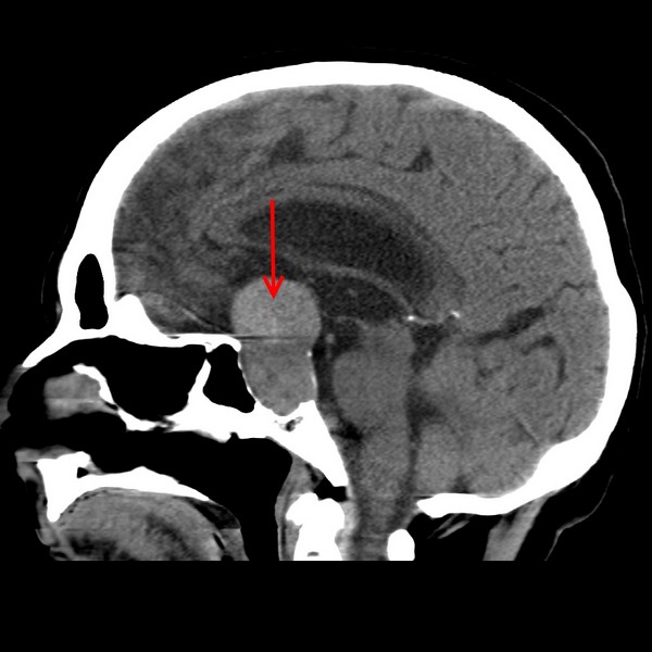
Розміри турецького сідла повинні бути приблизні рівні гіпофізу та допустиме відхилення 1 мм. Середня відстань між задньою і передньою стіною зазвичай становить від 1 до 1,5 см, а від дна порожнини до діафрагми 0,7-1,3 см. Побачити наочно пусте турецьке сідло можна на цій картинці:

причини
Причини формує порожнього турецького сідла можна відсортувати до 3 категоріям, а саме:
- Аномальне формування діафрагми в утробі матері;
- Внутрішні збої;
- Зовнішній вплив.
Формується патологічний процес під час розвитку плоду запобігти не вийде і за рахунок тиску ліквор потрапляє в область гіпофіза і поступово деформує його. Малюк зможе жити з цією хворобою, але доведеться дотримуватися здоровий спосіб життя і періодично обстежуватися у лікаря.

Найбільш поширеною категорією є внутрішні збої, і вони поділяються на кілька груп:
- Гормональні перебудови. Виникають вони протягом усього життя людини і це цілком природний процес. Серед причин появи гормональних сплесків можна виділити найбільш основні:
- Сплески гормональної активності у підлітків в період статевого дозрівання;
- вагітність;
- менопауза;
- Вживання медикаментів на гормональній основі;
- Аборт, в тому числі і медикаментозний;
- Різного роду хірургічні втручання в області репродуктивної системи людини.
- Порушення функцій серцево-судинної системи. Скачки тиску, викликані різними відхиленнями, також вважаються основною причиною порожнього турецького сідла. Для цієї групи властиві такі причини:
- Підвищений тиск;
- Кіста в мозковому придатку;
- Новоутворення в головному мозку;
- Збої в системі кровообігу;
- Крововиливи в черепній коробці;
- Серцева недостатність;
- Кисневе голодування клітин мозку.
- Попадання вірусу в організм;
- Збої в імунній системі людини;
- Поява запалення;
- Зайва вага.

СПТС може виникати внаслідок впливу зовнішніх факторів. Серед найбільш поширених причин його розвитку можна виділити наступні:
- опромінення;
- Травми голови;
- Операції, проведені на головному мозку;
- Хіміотерапія.
симптоми
Ознаки турецького сідла зазвичай проявляються у вигляді порушення функцій певних систем організму і для зручності вони були поділені на такі групи:
- Неврологічна симптоматика. Така група, найбільш поширена, і фактично завжди поєднується з іншими ознаками. Для неї властиві такі симптоми:
- Сильні головні болі без певного місця локалізації. Вони проявляються приступообразно і залежать від ступеня пошкодження гіпофіза;
- Підвищена температура до 37-37,5 °;
- Судомні приступу;
- Кольки в животі;
- Прискорене серцебиття;
- слабкість;
- задишка;
- Скачки тиску;
- Необгрунтована дратівливість, депресивний стан, відчуття тривоги.

- Офтальмологічна симптоматика. У 50% випадків у хворих погіршується гострота зору і проявляється це в таких симптомах:
- Туман і точки перед очима;
- Набрякання кон'юнктиви;
- Неповне поле видимості;
- Біль під час рухів очей;
- Роздвоєна картинка.
Ендокринна симптоматика. Через дії ліквору гіпофіз дає збої і порушується гормональний баланс. Проявляється це у вигляді таких ознак:
- Збої в роботі статевих органів;
- Метаболічні патології;
- Ознаки діабету;
- Порушення менструального циклу;
- Гіпотиреоз, виявляється у вигляді аномального росту щитовидки;
- Акромегалія, при якій збільшуються в розмірах певні ділянки тіла.
У більшості випадків синдром порожнього турецького сідла не має яскраво вираженої симптоматики, тому люди списують виникають нечіткі ознаки на різні патологічні процеси. Точно визначити причини їх може тільки лікар після детальної діагностики.
діагностика

Для постановки діагнозу СПТС лікар використовує інструментальні методи обстеження, наприклад, МРТ і КТ. На знімку буде видно будь-патологічні зміни в тканинах головного мозку, в тому числі і в гіпофізі.
У більш ніж половині випадків турецьке сідло виявляється випадково, наприклад, при призначенні повної діагностики із застосуванням магнітно-резонансної томографії. Хвороба часто проявляється незначно, тому людина навіть не відчуває особливого дискомфорту, особливо складно дізнатися про її наявність на тлі важкої фізичної праці. Часто виявляють проблему при виникненні ознак діабету, а також при аномальному збільшенні щитовидної залози і погіршенні зору.
Для комплексної діагностики потрібно здати аналіз крові, щоб побачити чи є в організмі гормональні збої. Таке обстеження забере ще трохи часу, але можна буде точно упевнитися в свій діагноз і сміливо починати курс лікування.
наслідки захворювання

СПТС згодом порушує роботу багатьох систем, адже крім ліквору, що потрапляє в порожнину, туди проникають тканини мозку. Через такого явища гіпофіз стискається і зміщується ближче до стінки. У такого процесу є свої наслідки:
- Хвороба з часом порушує гормональний баланс в організмі. Таке явище призводить до збоїв в роботі щитовидної залози і погіршення природного захисту організму. Нерідко виникають порушення в репродуктивній системі, наприклад, у жінок розвивається безплідність, збивається графік менструального циклу, а у чоловіків виникає імпотенція;
- Згодом головні болі будуть переслідувати людину, яка страждає від турецького сідла все частіше, і можуть виникати мікроінсульт;
- Проблеми із зором виникають через сусідство клиноподібної кістки зі зоровими нервами. У міру розвитку патологічного процесу у людини спостерігаються різні офтальмологічні симптоми, які з часом поглиблюються. При відсутності лікування синдром порожнього турецького сідла часто призводить до хвороб очного яблука і сліпоти.
Вчені провели масу тестів і згідно зі статистикою, кожен 10 дитина народжується з СПТС, але проявляється патологія не у всіх. Видимі симптоми спостерігаються лише 1/3 дітей, решта малюків живуть звичайним життям і навіть не підозрюють про наявність такої важкої хвороби.
У разі якщо у людини в роду були хворі на цей синдром, то бажано пройти обстеження, щоб виявити наявність вродженої хвороби. Виявляється вона далеко не завжди, але перебуваючи в групі ризику бажано раз на рік робити МРТ і вести здоровий спосіб життя.
лікування недуги

В першу чергу хворий повинен попрямувати до терапевта, який орієнтуючись на опитування і огляд пацієнта перенаправить до більш вузького спеціаліста. Найчастіше їм є невролог і він призначить обстеження, щоб диференціювати синдром порожнього турецького сідла, визначити його тип (вроджений або набутий) і призначити лікування
Якщо патологія у людини з народження, то зазвичай особливих дій не буде потрібно, але слід дотримуватись таких правил:
- Займатися спортом, але бажано без особливих фізичних перевантажень;
- Правильно скласти свій раціон харчування, щоб організм отримував всі потрібні йому речовини і обмежити споживання шкідливої їжі, наприклад, солодощів, фастфуду, а також жирних і копчених страв;
- Раз на рік обстежитися в лікарні і перебувати на обліку у лікаря.
Якщо присутній симптоматика хвороби, то фахівець призначить препарати для купірування мігрені, поліпшення природного опору організму, нормалізації менструального циклу і т. Д. Підбирається курс строго індивідуально і самостійно змінювати дозування забороняється.

У разі набутого синдрому призначають гормональну терапію, для нормалізації функцій ендокринної системи. У рідкісних випадках використовується оперативне втручання, але в основному через розвиток сліпоти. Суть операції полягає в корекції мембрани і видаленні новоутворень при їх наявності.
Курс лікування зазвичай обходиться без методів народної медицини, так як вони нічим не зможуть допомогти. Замість нетрадиційних способів терапії, лікарі радять позбутися зайвої маси тіла і перестати вживати гормональні медикаменти. Бажано також відмовитися від шкідливих звичок і правильно харчуватися.
Турецьке сідло є досить поширену хворобу головного мозку. Вона часто не проявляється, але якщо симптоматика присутня, то лікування полягає в купировании нападів і здоровий спосіб життя. У важких ситуаціях не обійтися без операції по відновленню мембрани.