- Загальні відомості
- Причини розвитку пульпіту
- Клінічні прояви пульпіту
- діагностика пульпіту
- лікування пульпіту

Пульпіт - запальний процес, який стосується м'які тканини з судинно-нервовими утвореннями, що заповнюють порожнину зуба. Характеризується нападоподібному прогресуючої болем, нерідко поширюється на всю щелепу, що віддає в вухо і скроню, посилюється ночами. Вимагає термінового лікування у стоматолога, нерідко - депульпірованія зуба (видалення нерва). При своєчасному лікуванні - вихід сприятливий. В іншому випадку може викликати розвиток періодонтиту, освіту околокорневой кісти зуба.
Загальні відомості
Пульпітом називають запалення пульпи зуба, причиною якого є патогенна мікрофлора - в основному стрептококи і стафілококи. Основним клінічним проявом пульпіту є сильний больовий синдром. Пацієнти відзначають хворобливість як в стані спокою, так від подразників, при впливі температурних подразників біль посилюється. Характерною ознакою пульпіту є зубний біль , Загострюється в нічний час.
Причини розвитку пульпіту
Не лікувалися карієс або неякісно пломбовані каріозні порожнини є вхідними воротами для патогенних мікроорганізмів. Продукти їх життєдіяльності і стають основною причиною пульпіту. Більшу частину пульпітів викликає гемолітичний і негемолітіческій стрептокок, тому при стрептококової ангіні і наявності нелікованого карієсу, може виникнути ускладнення у вигляді пульпіту. Стафілококи, лактобацили і інші мікроорганізми рідше стають причиною пульпіту.
Запальний процес починається з уже інфікованого ділянки, який знаходиться біля каріозної порожнини, далі мікроби і токсини проникають в кореневу пульпу. Іншою причиною пульпіту є травми зуба , В основному це відлам частин коронки, відколи емалі і переломи зуба . Рідше пульпіти виникають під впливом агресивних температурних і хімічних чинників.
Клінічні прояви пульпіту
Загальним симптомом для всіх типів пульпітів є сильна хворобливість, особливо при зміні температури і безперервна або переривається зубний біль в нічний час.
Гострий вогнищевий пульпіт характеризується нападами болю, з чіткою локалізацією і тривалими проміжками интермиссии. Напади болю при гострому очаговом пульпіті в основному короткочасні, біль настає від впливу температурних подразників. Хворобливість посилюється в нічний час, що є характерним симптомом для всіх пульпітів. При обстеженні виявляється глибока каріозна порожнина, дно порожнини під час зондування болісно. Електровозбудімость пульпи знижена з того боку, в області якої локалізується вогнищевий пульпіт.
При гострому дифузному пульпіті напади болю більш тривалі, світлі проміжки незначні. Дифузний пульпіт відрізняється від осередкового більш інтенсивними болями в нічний час. Хворобливість посилюється в лежачому положенні, болі можуть віддавати в різні ділянки, в залежності від місцезнаходження хворого зуба. При огляді каріозна порожнина глибока з хворобливістю по всьому дну під час зондування. Відповідна реакція на температурні подразники при гострому дифузному пульпіті різко болюча, але в деяких випадках холод знижує біль. Перкусія ураженого пульпітом зуба в основному безболісна. Електровозбудімость пульпи знижена у всіх ділянках, в тому числі і на дні каріозної порожнини. Саме дані електровозбудімості допомагають точно встановити тип гострого пульпіту.
хронічні пульпіти мають менш виражену симптоматику і стерту клінічну картину. так при хронічному фіброзному пульпіті напади болю від різних подразників незначні і нетривалі. Під час опитування пацієнта з'ясовується, що зуб хворів раніше, а симптоматика болю відповідала гострого пульпіту. При хронічному пульпіті мимовільні болю трапляються рідко, в основному через порушення відтоку ексудату. Реакція на холод замедленна, іноді спостерігається болючість при різкій зміні температури навколишнього середовища.
Зондування дна каріозної порожнини підтверджує наявність сполучення між каріозної порожниною і порожниною зуба. Електровозбудімость зуба з хронічним фіброзним пульпітом знижена, а рентгенологічний знімок підтверджує розрідження кісткової тканини біля верхівки кореня.
Хронічний гангренозний пульпіт клінічно проявляється болями в зубі під час прийому гарячої їжі або при впливі інших температурних подразників. пацієнти з гангренозний пульпітом скаржаться на рідкісні мимовільні болю і на неприємний гнильний запах з рота. В анамнезі є скарги на гострі болі нападів характеру з іррадіацією по ходу трійчастого нерва. Під час огляду зуба з хронічним гангренозний пульпітом виявляється, що каріозна порожнина широко повідомляється з порожниною зуба. Зондування каріозної порожнини хворобливо на всій глибині як коронкової, так і кореневої пульпи. Глибина ураження визначається ступенем поширеності пульпіту і, чим глибше ураження при гангренозний пульпіті, тим нижче ступінь електровозбудімості пульпи. О пів на випадках при гангренозний пульпіті на рентгенологічних знімках визначаються деструктивні зміни околоверхушечной тканини, ступінь вираженості деструкцій залежить від глибини пульпіту.
При хронічному гіпертрофічному пульпіті суб'єктивні відчуття практично відсутні. Пацієнти скаржаться на кровоточивість розрослася тканини пульпи і на незначні больові відчуття під час прийому їжі. В анамнезі є скарги на гостру приступообразную біль, яка характерна для осередкового або дифузного пульпіту. При огляді ураженого гипертрофическим пульпітом зуба добре видно, що коронка зуба зруйнована, а з каріозної порожнини вибухає гіпертрофічна змінена пульпа. Поверхневе зондування майже безболісно, при глибокому зондуванні біль посилюється. Періапікальная щілину на рентгенологічному знімку без змін.
Під час загострень хронічного пульпіту виникають мимовільні приступообразні болю. Часто пацієнти в період рецидиву скаржаться на тривалі інтенсивні болі від різних зовнішніх подразників. Болііррадіюють по ходу трійчастого нерва, в стані спокою біль зазвичай ниючого характеру, яка при накусиваніі зубом-антагоністом посилюється. В анамнезі пацієнта присутні прояви гострого та хронічного пульпіту. Під час огляду стає видно, що каріозна порожнина і порожнина зуба складають єдине ціле, порожнину відкрита, а зондування пульпи різко болісно. При загостренні хронічного пульпіту електровозбудімость пульпи знижена, а на рентгенограмі розширення періодонтальної щілини добре помітно. Розрідження кісткової тканини в периапикальной зоні є характерним проявом хронічного рецидивуючого пульпіту.
Не лікувалися пульпіт може привести до некрозу пульпи , Поширенню запального процесу на околоверхушечние тканини і розвитку періодонтиту .
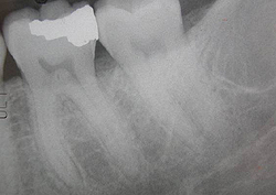
діагностика пульпіту
Пульпіт діагностують на підставі суб'єктивних скарг і інструментального огляду стоматолога . Під час інструментального огляду виявляється каріозна порожнина з розм'якшеним дентином, хвороблива реакція ураженого зуба на зміну температури. Перкусія при пульпіті майже завжди безболісна. Різка болючість спостерігається в місці, де каріозна порожнина максимально контактує з пульпою. Дані електровозбудімості ( електроодонтодіагностика ) і рентгенологічні дослідження дозволяють уточнити характер і глибину пульпіту.
лікування пульпіту
Мета лікування пульпіту - відновити функціональність зуба, тому основним методом терапії є консервативний або біологічний. Він застосовується, коли запальні явища при пульпіті оборотні, при травматичному пульпіті або при випадковому розтині порожнини зуба. Технологія лікування пульпіту та ж, що і при лікуванні каріозної хвороби, але медикаментозної обробці та дезінфекції порожнини зуба приділяють більше уваги. Для обробки використовують антибіотики, антисептики і протеолітичні ферменти.
основним етапом лікування пульпіту є накладення лікувальних протизапальних і регенеруючих паст на дно порожнини, порожнину закривають на 5-6 днів і далі при відсутності скарг пломбують. Після проведеного лікування рекомендується приділяти більше уваги догляду за порожниною рота і своєчасно лікувати карієс зубів.